Highlights

Low X-ray Exposure Imaging

IMA - June 2007
The ability to “see” inside a human body has been of tremendous value to medical diagnostic. For example, it is almost impossible to properly diagnose brain tumor without being able to image the patient’s head, and very difficult to plan the complex surgery of removing the tumor without accurate three-dimensional visualization of the brain itself. A prevalent method to see our way inside a human body is the CT scan, which uses X-rays. While the images created by CT scans are of great diagnostic value because of their high resolution, they are obtained at the cost of exposing the patient to dangerous X-rays. Therefore, there is a need for a technology that can obtain high resolution images using a limited amount of X-ray.

CT uses sophisticated mathematical algorithms to create a 3-dimensional image from a series of 2-dimensional X-ray images. The level of resolution in the 3-dimensional image or cross-sectional images depend on the number of 2-dimensional X-ray images, each of which is referred to as a projection. Therefore, the resolution, thus the ability to accurately diagnose, is directly proportional to X-ray exposure.

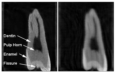
Figure 1. Tomographic reconstruction of a third mandibular molar from only 23 views. Left, with Liao’s algorithm. Right, with an Algebraic Reconstruction Technique, widely used in commercial scanners. Data from Maaria Rantala of PaloDEx Group.

In 2006, IMA postdoc Hstau Y. Liao invented a new reconstruction algorithm which produces high resolution 3-dimensional images even when the number of projections are small. Early tests on dental data provided by the University of Minnesota School of Dentistry have been very promising. The University of Minnesota is pursuing a patent on the technology Liao created. In the mean time, a major global medical imaging company is assessing Liao’s invention for possible licensing.

The implications of this work are clear. Given that about 72 million CT scans are performed each year in the US alone, one can assume that a large fraction of these have unnecessarily exposed patients to harmful doses of X-rays. Liao’s invention, when implemented and deployed, will save lives in two ways. It will provide powerful diagnosis as traditional CT scans do. But more importantly these accurate images will be obtained without exposing patients to large doses of X-ray.

Related material

  • A gradually unmasking method for limited data tomography by Hstau Y. Liao, in: Biomedical Imaging: From Nano to Macro , 4th IEEE International Symposium on Biomedical Imaging, 2007, pages 820-823.